Описание
Описание
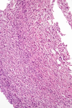
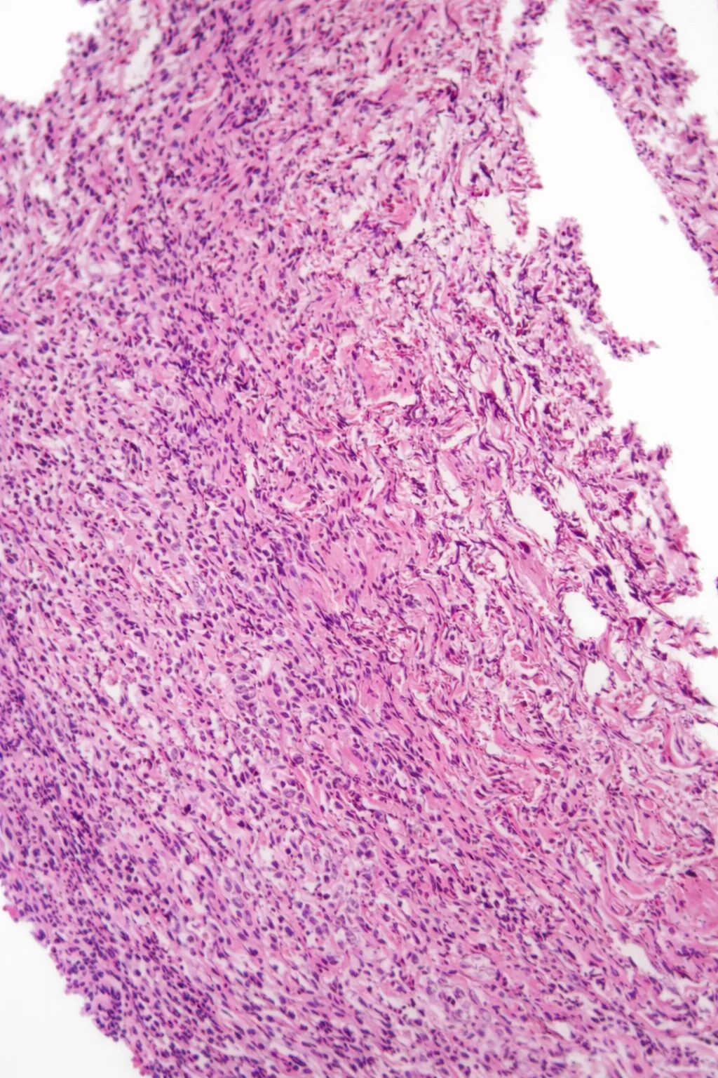
Комплексная услуга по изготовлению гистологических препаратов различных биологических тканей для научных исследований и контроля качества биоматериалов. Выполняется с соблюдением стандартов лабораторной практики и требований к воспроизводимости результатов.
Возможные варианты услуги:
- готовые гистологические стекла с окрашиванием
- парафиновые блоки (без нарезки и окраски)
Стандартно используется окрашивание гематоксилином и эозином (H&E) для оценки структуры тканей. Дополнительно доступны другие методы окрашивания по запросу в зависимости от задач исследования.
Преимущества:
- гибкий формат: стекла или блоки
- стандартное H&E окрашивание
- возможность специализированных окрашиваний
- подходит для научных и прикладных задач
- воспроизводимость и качество подготовки образцов
Области применения:
- оценка биосовместимости и интеграции материалов
- анализ тканевых реакций in vivo
- научные исследования
- подготовка материалов для научных публикаций и отчетности
